国际银屑病检测金标准——三级阶梯检测、锁定病因
- 来源:郑州市银屑病研究所
 - 发表日期:2015-09-18
 - 点击次数:
 
- 核心提示
 - 我国传统中医是非常重视忌口的,一般来说,忌口会针对病人具体情况而定。其实不仅传统医学重视忌口,现代医学也十分重视,对于一些疾病有着非常严格的饮食禁忌。那么牛皮癣作为一种常见的由多因素诱导、多基因遗传的慢性皮肤炎症性疾病,患者在治疗的期间中有什么饮食禁忌?到底应该怎么做呢?【如何避免饮食误区?点击咨询了解更多饮食护理】
 
	  蓝氧自体免疫激活疗法引进国际检测设备,打破传统银屑病“千人一方”的治疗弊端,精准检测银屑病患者致病因,对于个别特殊病例进行医生会诊,制定相对的治疗康复方案。
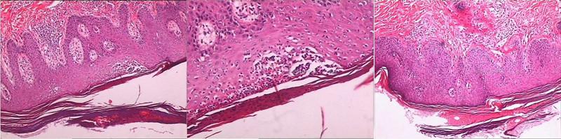
	  1、病理性检测
	  (1)组织病理学检测
	  银屑病的皮损组织表皮角质层有角化过度、角化不全、角质生成细胞增生、真皮乳头上延、毛细血管增生及周围有少量淋巴细胞浸润等特征性的改变,对此进行皮损的组织病理学检查有助于辅助病情的诊断,并以此为依据来判断病情的严重程度。
	 

	  银屑病病理特征:角化不全,皮突延长,表皮呈银屑病样增生,乳头上延,上方粒层变薄、消失,
	真皮浅层血管扩张,淋巴细胞、组织细胞及中性粒细胞浸润。
	  (2)血液流变学检测
	  应用同位素半清除时间测定,检查血液运行范围内微循环状态。检测可发现银屑病皮损处血液流量减少,以此查出肉眼看不见的新皮损,同时可根据血液流量检测出皮损的严重程度。通过检测可清楚掌握皮损情况情况,对治疗前后疗效评估有重要意义。
	 
	  (3)免疫功能障碍检查
银屑病患者存在多种局部或系统性免疫功能异常,免疫功能的降低易导致银屑病的病发,免疫功能升高易合并过敏等症状,进而诱发银屑病。该检测项目通过对免疫细胞、免疫球蛋白的检查,了解患者免疫功能现状,进一步确定病发诱因,制定更为准确的治疗方案。
	 
银屑病患者存在多种局部或系统性免疫功能异常,免疫功能的降低易导致银屑病的病发,免疫功能升高易合并过敏等症状,进而诱发银屑病。该检测项目通过对免疫细胞、免疫球蛋白的检查,了解患者免疫功能现状,进一步确定病发诱因,制定更为准确的治疗方案。
	  (4)微循环障碍检测
	  银屑病患者由于微循环障碍的存在,会发生广泛的微血管形态异常,血液黏度增高,血小板聚集性能增强,这些因素都能导致血流速度缓慢,从而形成了银屑病难堪的皮损症状,并且增加了其顽固难治性。种种研究结果表明,银屑病症状的产生与人体的微循环障碍有着十分密切的关系,在治疗银屑病时,通过微循环障碍检测确定发病机制,恢复机体内环境的平衡与稳定,促进微循环系统的正常运转,有助于表皮症状的消退,就显得尤为重要。
	 

	  银屑病患者微循环障碍:微血管形态异常,血液黏度增高,导致血流不畅、细胞缺氧
,影响细胞正常分化功能,最终形成银屑病病理特征
	 
,影响细胞正常分化功能,最终形成银屑病病理特征
	  (5)微量元素检测
	  银屑病的发病与患者体内铜、锌元素分布情况密切相关,一项专题研究表明,微量元素锌在银屑病发展期含量下降,进行期间又有所恢复,事实上除了了锌元素明显造成银屑病的发病因素之外,其他微量元素对于人体的健康也是不可或缺,会直接或间接导致各种并发症的发生。因为检测微量元素的缺失不仅能够明显监测银屑病病因的作用,同时对人体内循环健康监测也起到极大的作用。
	 
	  2、3D断层成像检测
	  利用共聚焦显微镜结合计算机三维立体断层成像技术,从而实现直观、实时、动态观测患者银屑病发生、发展、疗效与皮损变化等情况的目的,通过对患处皮损表皮层的检查,直接锁定皮下组织受损范围及病变细胞变异增殖过程,更为直观的查看真皮乳头延长及水肿,颗粒层消失,角化不全等,以便快速确定皮损的分型与病灶的进展趋势。
	 

	  皮肤断层影像皮肤检测能有效形成病变皮肤组织3D影像,实现对T、B细胞定位检测
	 
	  T、B细胞定位检测3D图是通过3D细胞功能多维度定位检测系统对单细胞定量分析,它借鉴了荧光标记技术、激光技术、单抗技术和计算机技术,具有极高的检测速度与统计精确性,而且从单一细胞可以同时测得多个参数并通过3D图像表现出来,为生物医学与临床检验提供了一个全新视角和强有力的手段。目前,随着单克隆抗体技术的发展,该项技术技术已经广泛使用在基础研究和临床实践的各个方面,在细胞生物学、肿瘤学、血液学、免疫学、药理学、遗传学及临床检验学等领域内特别是银屑病治疗方面发挥着重要作用,3D断层成像检测一般检测项目包括:
	 

	T、B细胞3D图是实现临床细胞治疗有效途径,从而实现对疾病的检测。
	 
	  (1)细胞凋亡检测
	  细胞凋亡是细胞在基因控制下的有序死亡,在疾病发生、发展中有重要作用,因而研究细胞凋亡有重要意义。在银屑的治疗上,通过对T细胞和B细胞的细胞凋亡检测,可以通过活性氧及营养因子定位渗透来减缓T细胞的凋亡激活其细胞活性增强免疫力,同时修复B细胞的负应答分化增殖大量浆细胞,浆细胞可合成和分泌抗体并在血液中循环。细胞凋亡检测方法很多,TB细胞定位检测3D图可根据细胞在凋亡过程中发生一系列形态、生化变化从多个角度对细胞凋亡进行定性和定量的测定。
	 
	  (2)细胞周期检测
	  T、B细胞增殖周期:分为G0、G1、S、G2、M期。S期是DNA合成期,在S期内,DNA进行复制,是细胞的DNA含量由2倍体(2C?46染色体)变为4倍体(4C)。G1和G2期为DNA合成前、后间期,此期无DNA合成,但RNA和蛋白质进行合成。M期为有丝分裂期,在此期一个细胞分裂为2个细胞。细胞内的92条染色体分裂成2组46条染色体,是每个细胞内具有46条染色体。在M期分裂成两个细胞之前,G2和M期细胞的DNA含量均为恒定的4C。M期以后部分细胞进入G1期,继续进行增殖,部分细胞进入G0期,即静止期,不再进行增殖。因此,FCM分析一个群体细胞峰DNA倍体与细胞周期时,将DNA含量直方图分为3个部分,即G0/G1,S,G2/M期三个细胞峰。
	 
	  通过细胞周期检测可以有效检测出患者T细胞和B细胞的细胞峰,皮损处T细胞和B细胞处于增殖期或静止期。运用生物刺激等诊疗手段可以使患者T细胞和B细胞进入G1增殖期,抑制T细胞和B细胞的抗原反应与免疫应答功能,重建机体微循环。
	 

	细胞周期示意图
	 
	  (3)免疫功能检测
	  银屑病患者存在多种局部或系统性免疫功能异常,免疫功能的降低易导致银屑病的病发。TB细胞定位监测3维成像技术通过对T细胞和B细胞免疫力及免疫球蛋白的监测可以有效的了解患者免疫现状,进一步确定诱发病因,制定更为准确有效的诊疗方案。
	 
	  3、医生联合会诊
	  对于一些病情特殊、病因难以确定的银屑病患者,将患者的病例资料共享至“银屑病医生协作组”会诊平台,通过与“协作组”成员机构医生的联合会诊,结合患者的实际病情与病理特征制定出与之相对应的治疗方案。
	 
 
上一篇:蓝氧自体免疫激活疗法——六大功效 
下一篇:蓝氧自体免疫激活疗法 五步治疗抗复发 

          
          
          













 