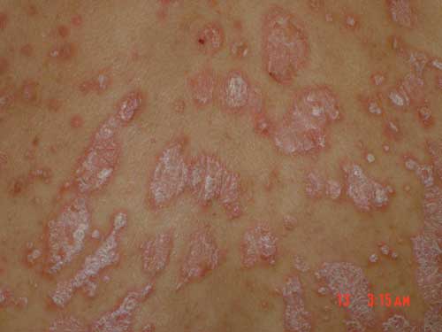
银屑病传染吗?
- 来源:郑州市银屑病研究所
- 发表日期:2015-09-17
- 点击次数:
- 核心提示
- 我国传统中医是非常重视忌口的,一般来说,忌口会针对病人具体情况而定。其实不仅传统医学重视忌口,现代医学也十分重视,对于一些疾病有着非常严格的饮食禁忌。那么牛皮癣作为一种常见的由多因素诱导、多基因遗传的慢性皮肤炎症性疾病,患者在治疗的期间中有什么饮食禁忌?到底应该怎么做呢?【如何避免饮食误区?点击咨询了解更多饮食护理】
银屑病患者提问:银屑病传染吗?
医生解惑:这个问题,很多患者和家属都普遍关注,然而却一直没能得到答案。 针对这个问题,我院银屑病医生给广大患者明确答复:银屑病不会传染。此外,医生特别强调,银屑病虽然不传染,但是任其发展,后果非常严重,患者一定要及早治疗。
医生解惑:这个问题,很多患者和家属都普遍关注,然而却一直没能得到答案。 针对这个问题,我院银屑病医生给广大患者明确答复:银屑病不会传染。此外,医生特别强调,银屑病虽然不传染,但是任其发展,后果非常严重,患者一定要及早治疗。
银屑病不存在“传染源”
首先我们先了解什么叫传染。传染又称感染,是病原体侵入人体后,病原体在人体内的一种寄生过程。也是一种相互作用和斗争的过程。构成传染的首要元素是传染源,银屑病是由于局部皮肤黑色素代谢紊乱而引起的脱色性改变,不存在传染病的特征,因此银屑病(牛皮癣)并不是传染病,不会传染。
据有关资料显示,追访调查近千名病人,未发现夫妻之间传染的病例。近千对夫妻同居20年以上没有一人受传染,这一事实难道还不足以证明本病不会传染吗?所以广大的牛皮癣患者可以放心,牛皮癣不是一种传染病。
银屑病虽然不传染但是对患者危害极大
医生提醒广大患者,银屑病虽然不传染,但是它的危害是巨大的!
遗传:尽管银屑病不传染,但是它却有可能遗传给下一代。有些年轻人甚至因此不敢结婚生育。
生活各方面受阻:银屑病对患者正常的学习,就业,婚姻,家庭,社交等等造成严重的影响。
自尊心受到打击:社会上有很多人对银屑病患者有一定的歧视,导致广大患者自尊心受到毁灭性打击。
银屑病可诱发多种疾病:如肝肾等系统损害,心血管并发症,向心性肥胖等
治好银屑病,你还需担心被它影响吗?
心态决定一切
相同的处境,不同的心态,迥异的结局。就像面对带刺的玫瑰,有人想到的是可怕的刺,有人想到的是美丽的花;看一件事物的角度和心态不同,行为结果自然有异。对银屑病的治疗,银屑病患者一定要有信心,银屑病在临床上是可以治愈的。调整好心态在治疗上有很大的帮助。
摆脱疾病,及时正规治疗
银屑病虽然不传染,但及时治疗势在必行。银屑病不仅需要长期的进行治疗,而且在治疗中还要留意做好调理,以免让好不轻易得到的病情更加的严重。
【温馨提示】得了银屑病一定要及时发现、及时治疗。如果您对银屑病的相关问题还有其他疑问,可直接点击咨询 ,与医生进行一对一交流。
上一篇:银屑病遗传几率能降低吗?
下一篇:银屑病需要住院治疗吗?















